
近期,曾被重症肺炎、多脏器功能衰竭等重症缠身的患者张先生(化姓),在广州市花都区人民医院重症医学科医护团队的全力救治下重获新生,为表达心中的感激之情,他特意送来锦旗,向医护人员致以诚挚的敬意。

病情骤变,陷入呼吸衰竭
张先生因咳嗽、胸闷等症状求医,当地卫生站诊断为“急性支气管炎”,并给予抗感染治疗,然而症状并未得到缓解,反而持续加重。
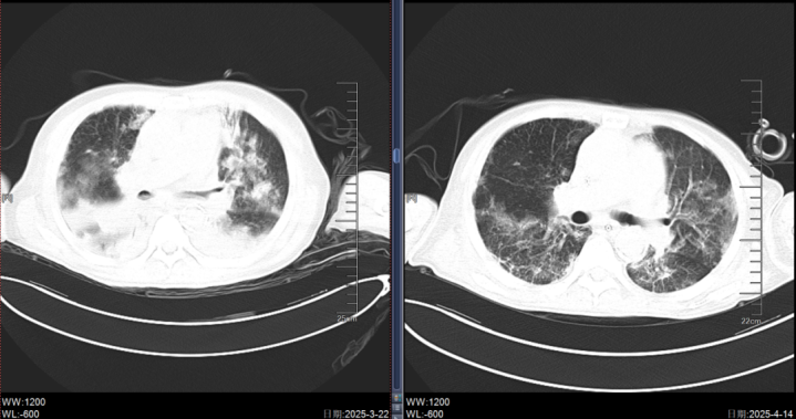
带着乏力、纳差等不适,张先生来到广州市花都区人民医院中西医结合科就诊。入院后病原学检查提示甲型流感病毒合并烟曲霉菌感染,且由于长期患有心房颤动、糖尿病、肝硬化等多种基础疾病,病情复杂。
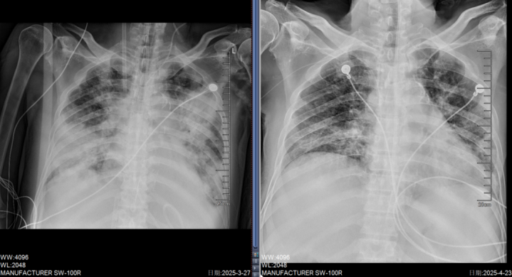
虽经积极抗病毒、抗感染治疗,患者病情仍急剧恶化,很快出现神志转差、血氧饱和度急剧下降等症状,诊断为重症肺炎合并呼吸衰竭,紧急转入ICU监护治疗。
危急关头,ECMO搭建生命桥
进入ICU时,张先生已并发重度急性呼吸窘迫综合征(ARDS)、感染性休克,气道内积聚大量脓痰,二氧化碳潴留明显,还出现了呼吸性酸中毒,多脏器功能衰竭。更棘手的是,患者有肝硬化病史,这意味着若采用ECMO(体外膜肺氧合)辅助治疗,极易引发出凝血功能紊乱等严重并发症。
面对危在旦夕的患者,ICU医护团队反复研讨病情,全面评估治疗方案。经与患者家属进行深入沟通后,团队果断决定实施VV-ECMO(静脉-静脉体外膜肺氧合)辅助呼吸治疗。

“VV-ECMO,是一种顶尖的体外生命支持技术。通过将患者体内的静脉血引出,经人工膜肺进行氧合并清除二氧化碳后,再将富含氧气的血液回输到患者体内,能部分或完全替代患者衰竭的肺功能,为严重呼吸衰竭患者赢得宝贵的治疗时间。”重症医学科姚淑雯主任介绍。
昼夜守护,精准施治迎来新生
ECMO启动后,医护团队24小时全程守护,开云密切监测患者的生命体征、凝血功能、感染指标等,根据病情变化及时调整治疗方案。随着治疗的逐步推进,患者的感染得到有效控制,呼吸功能逐渐恢复。


在ECMO支持11天后,成功撤机;又经7天精心治疗与呼吸康复,张先生神志转清,顺利拔除气管插管,转回普通病房继续治疗,最终康复出院。
什么是曲霉菌?它有害吗?
曲霉菌是一种广泛存在于自然环境中的真菌,常见于土壤、腐烂植物、空调系统、潮湿的建筑材料等环境中。
正常情况下,健康人群的免疫系统可以抵御曲霉菌的侵袭,但对免疫力低下者,它可侵入肺部引发侵袭性肺曲霉病。
流感病毒会损伤呼吸道黏膜屏障,导致免疫力下降,让平时可能不会致病的真菌(如曲霉菌)“趁虚而入”,形成混合感染。
警惕“双感染”:流感季勿轻视这些信号!
冬春季节是流感高发期,也是流感合并曲霉菌感染的高危时段。医生特别提醒:
若患流感后持续高热不退(超过3天)、咳嗽加重、咳棕褐色或带血痰、呼吸急促或胸痛,常规治疗无效,警惕肺曲霉病可能。
老年人、糖尿病、慢阻肺、肿瘤患者及长期使用激素者属易感人群,建议尽早接种流感疫苗,流感季避免去人群密集场所。
保持居家环境清洁干燥,及时清理浴室、地漏、洗衣机等潮湿区域的霉斑,减少曲霉暴露。
一旦出现疑似症状,请及时就医,切勿自行服药,延误诊治。
重症医学科简介

广州市花都区人民医院重症医学科成立于2002年,是花都区卫生系统临床重点专科、承担广州以北(韶关、清远、南海、三水、白云区)等地危重病人的救治。
{jz:field.toptypename/}科室现开放床位21张,现有医生15名,其中主任医师2名,副主任医师4名,硕士8名,护理人员53名。配备多功能监护仪、呼吸机、血液净化机、纤维支气管镜、除颤仪、转运呼吸机等各种高端生命支持设备,拥有体外膜肺氧合(ECMO)机2台。在区内率先开展体外膜肺氧合技术(ECMO),年开展例数及抢救成功率均高于全国平均水平,满足危重症病人救治需要。
科室开展呼吸支持技术:应用于重症肺炎、慢性阻塞性肺疾病合并严重感染、呼吸衰竭等;血液净化技术:应用于脓毒症、急性重症胰腺炎、急性肝肾功能衰竭、急性中毒、介入术后、严重多发伤的综合救治;脉搏指示连续心排血量(PICCO)监测技术,应用各种休克、大手术后及PCI术后的监测等多项医疗技术。
文、图|王沫依吴嘉敏

备案号: